Cabinet d'Orthodontie du Dr Michel GOUVERNEUR
Orthodontiste à LANGON
11 avenue de Comberlin, 33210 LANGON
+33 5 56 76 22 00
Cabinet d'Orthodontie du Dr Michel GOUVERNEUR
Orthodontiste à LANGON

Cas cliniques

ENFANT

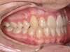
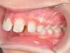
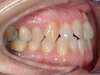
Cas 1 : Description

Absence congénitale des incisives latérales supérieures. Appareils fixes pour créer l’espace nécessaire à la mise en place de facettes en remplacement des latérales.

Avant

Après

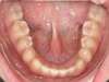
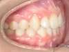
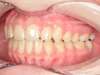
Cas 2 : Description

Incisives en articulé croisé. Palais étroit. Traitement interceptif avec expansion palatine rapide, gouttière de rééducation fonctionnelle et multibague.

Avant

Après

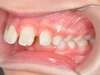
Cas 3 : Description

Articulé croisé postérieur gauche avec déviation de la mâchoire inférieure. Traitement interceptif avec expansion palatine rapide.

Avant

Après

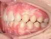
Cas 4 : Description

Béance antérieure et articulé croisé postérieur.Traitement interceptif avec expansion palatine rapide puis gouttière de rééducation fonctionnelle et multibague .

Avant

Après

ADOLESCENT

Cas 1 : Description

Correction d'un écart de 10 mm entre les incisives supérieures et inférieures. Aucune extraction.Appareil orthopédique et multibague.

Avant

Après

Cas 2 : Description

Traitement avec expansion palatine rapide, appareils fixes et orthopédie ( pour corriger l’écart de 9mm entre les incisives supérieures et inférieures) aucune extraction.

Après

Cas 3 : Description

Recouvrement incisif important, Manque d’espace. Traitement multibague sans extraction.

Avant

Après

Cas 4 : Description

Chevauchement sévère. Traitement multibague sans extraction.

Avant

Après

Cas 5 : Description

Absence congénitale des incisives latérales supérieures. Appareils fixes pour créer l’espace nécessaire à la mise en place de facettes en remplacement des latérales.

Après

Cas N°6 : Description

Correction majeure des deux arcades dentaires liée à une mandibule rétrusive


Avant

Après

Cas N°7: Description

Correction d'une inversion d'articlé antérieure


Avant

Après

ADULTE

Cas 1 : Description

Après

Cas 2 : Description

Tendance prognathisme.Traitement par gouttières. 

Avant

Avant

Après

Cas 3 : Description

Encombrement aux deux arcades.Traitement par gouttières.

Avant

Après

Création par Webdentiste

Connexion