Cabinet d'Orthodontie du Dr Michel GOUVERNEUR
Orthodontiste à LANGON
11 avenue de Comberlin, 33210 LANGON
+33 5 56 76 22 00
Cabinet d'Orthodontie du Dr Michel GOUVERNEUR
Orthodontiste à LANGON

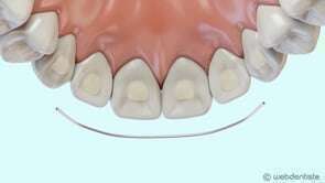
Fil de contention


video-play-icon

Articles similaires

Création par Webdentiste

Connexion